王常勇/徐福建/赵娜娜《Adv.Sci.》:乌贼墨+海藻=心肌修复新材料!
作者|高分子科学前沿 来源|高分子科学前沿(ID:Polymer-science)
心脏病治疗遇瓶颈
心肌梗塞(MI)是一种常见的心脏病,其在全世界范围内都表现出了高发病率和高死亡率的特点。MI会造成心肌的低血液供应和氧气剥夺,从而引发心肌细胞的死亡,最终产生心力衰竭这一严重的并发症。统计数据显示,最高至40%的MI最终会造成心力衰竭。而传统的治疗方法如介入治疗或者药物治疗目前也面临着巨大的挑战,这主要是因为传统疗法常常会带来心肌坏死以及心脏功能衰退等副作用。

(图片来源:摄图网)
心梗微环境为治疗提供思路
越来越多的研究显示,MI微环境能够深刻影响治疗效果。这主要是微环境中的活性氧(ROS)水平和巨噬细胞发挥了重要的作用:ROS不仅能够造成心肌细胞和血管细胞的不可逆损伤,还能触发严重的炎症反应;而在巨噬细胞中,促炎表型的M1 巨噬细胞也会触发炎症,相反地,抗炎表型的M2 巨噬细胞则有利于组织的重建再生。因此,通过清除ROS(抑制氧化应激损伤)和促进巨噬细胞向M2 表型的极化转变对于心功能恢复来说非常重要,有望推动心脏病治疗的发展。
水凝胶基生物材料助力提升心脏病治疗效果
近期,军事医学科学院基础医学研究所王常勇教授和北京化工大学的赵娜娜教授、徐福建教授等人联合提出了一种黑色素纳米颗粒(MNPs)/海藻酸钠(Alg)水凝胶生物材料,可基于对MI微环境的调节实现治疗作用。经过这一材料体系处理,MI微环境中的ROS可被有效消除,同时巨噬细胞可极化转变成M2表型,最终实现良好的心肌修复效果。相关工作以“Natural Melanin/Alginate Hydrogels Achieve Cardiac Repair through ROS Scavenging and Macrophage Polarization”为题发表在Advanced Science。

一、从海洋中获取材料设计思路
作者首先在广泛的研究调查中选择黑色素体系材料之一,这种生物聚合物具有光热、自由基清除等性质,在生物医学中具有广泛的应用。更重要的是,黑色素纳米颗粒还能够影响巨噬细胞的极化转变过程。此外,海藻酸钠作为海洋藻类的多糖成分,与细胞外基质具有结构相似性,在心肌修复和再生方面已经展现出了可观的应用前景。因此,在本项研究中,作者利用简单的离心方法从乌贼墨汁中提取了分散性良好的黑色素纳米颗粒,并将其加入到海藻酸钠溶液中,在钙离子的交联作用下形成黑色素纳米颗粒(MNPs)/海藻酸(Alg)水凝胶。(图1)

图1 MNPs/Alg水凝胶的制备及其心肌修复的治疗机制
二、水凝胶高效清除ROS
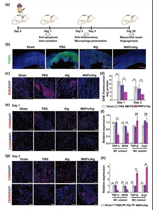
大量研究表明,MI发生后一天在梗塞区域的心肌细胞会发生凋亡。与此同时,在炎症方面,MI发生后的1-3天内M1 巨噬细胞占据主导水平,而后会在3-5天内分化成M2 表型,从而调节血管再生并为组织再生做准备。而在该研究中,作者发现注射了MNPs/Alg水凝胶后心肌细胞的凋亡现象明显减少。进一步地实验发现,MNPs/Alg水凝胶可有效降低MI区域的第1天和第3天的超氧阴离子(一种活性氧物质)水平(图2a-d),这说明MNPs/Alg水凝胶的抗氧化性质可在MI早期阶段有效清除ROS,从而保护心肌细胞免于凋亡。

图2 MNPs/Alg水凝胶在MI早期阶段对ROS水平和免疫微环境的影响
三、水凝胶影响巨噬细胞极化转变
作者接下来评价了水凝胶对巨噬细胞极化转变的影响。作者对MI发生后五天内巨噬细胞的细胞表面生物标记物和验证基因进行了研究,发现在MI的早期阶段(特别是发病后第1天),MNPs/Alg水凝胶的引入能够下调炎症基因和M1 巨噬细胞水平从而抑制炎症反应的发生,但对M2 巨噬细胞并没有明显的影响(图2e-h)。而在治疗后3天开始,M2 巨噬细胞的标记物水平发生显著变化,表明MNPs/Alg水凝胶在MI区域可以诱导M1 巨噬细胞向M2 巨噬细胞极化。到第五天时,促炎性基因的水平明显下降而M2表型相关的基因水平则显著上升,这些结果说明MNPs/Alg水凝胶能够在治疗后1-3天内下调促炎性M1 巨噬细胞的水平,并在3-5天内诱导巨噬细胞向M2表型转变。

图3 MNPs/Alg水凝胶对梗塞心脏心肌结构和心功能恢复的影响
最后,作者建立了MI大鼠模型,评估了MNPs/Alg水凝胶的28天治疗效果(图3)。在发生MI后,大鼠心脏尺寸变大,而引入MNPs/Alg水凝胶进行治疗后,心脏尺寸又可以减小恢复到正常水平。与对照组相比,在MNPs/Alg水凝胶治疗过的心脏中,其梗塞面积明显较小,条纹结构(striated structure)和肌动蛋白阳性区域更加清晰。不仅如此,治疗区域的心肌细胞水平也显著上调。在心功能恢复方面,与MI发生时的心脏相比,经过MNPs/Alg水凝胶治疗的心脏在泵功能和心室充盈等方面均有所强化。特别是左心室射血分数(LVEF)这一指标提高了20%左右,证实了MNPs/Alg水凝胶具有较好的心肌修复作用。
结论:简而言之,该研究通过设计新型可注射天然黑色素纳米颗粒/海藻酸水凝胶,在不装载干细胞、药物、基因的前提下,成功实现了对MI微环境的调节作用,从而最终助力心肌修复过程。凭借MNPs在抗氧化和巨噬细胞极化这两方面发挥的巨大作用,MNPs/Alg水凝胶能够通过清除有害ROS和促进巨噬细胞向M2表型转变,减缓抑制炎症反应。体内治疗实验表明,MNPs/Alg水凝胶通过调节ROS水平提升了心肌细胞的存活率,并可进一步减小心肌重构等副作用发生的几率。最后,治疗后心肌功能的大幅改善证明了MNPs/Alg水凝胶在心肌修复方面具有优异的治疗作用。基于这些研究成果,作者认为这一工作不仅为利用天然材料治疗心肌梗塞提供了新的思路,也为重新审视评估天然生物材料在心肌修复等领域的应用价值提供了机会。
文献链接:
https://onlinelibrary.wiley.com/doi/10.1002/advs.202100505
编者按:本文转载自微信公众号:高分子科学前沿(ID:Polymer-science),作者:高分子科学前沿
广告、内容合作请点这里:寻求合作
咨询·服务
