10个+国自然基金买单,这次的论文造假质疑事件有点严重!

(图片来源:摄图网)
作者|K.O 来源|百味科研芝士(ID:keyanzhishi)
从1986年正式被批准设立以来,国家自然科学基金一直致力于推动我国自然科学基础研究的发展,对于所有国内科研人来说,国自然项目不仅仅是一笔科研经费,更是对科研能力的认可,也是升职提干的敲门砖。

也正是因为国自然基金的重要性和权威性,本次这个一口气涉及10个+国自然基金买单的论文造假事件,注定了没法低调。
此次事件是由新晋打假斗士Hoya Camphorifolia(匿名)在Pubpeer上进行质疑报道的,涉及的主要是江苏师范大学郑元林教授、博导,历任江苏师范大学生物系系主任、生命科学学院院长、研究生处处长、副校长,目前担任江苏师范大学健康科学学院院长。

目前Pubpeer上涉及郑元林教授的共有59篇文章,涉及Journal of Cellular Biochemistry(IF=4.237分,3区)、Journal of Cellular Physiology(IF=5.546分,生理学2区/细胞生物学3区)、Journal of Cellular and Molecular Medicine(IF=4.486分,细胞生物学3区/医学,研究与实验2区)、Bioscience Reports(IF=2.942分,4区)等多本期刊,感兴趣的话可以移步Pubpeer一观。

(https://pubpeer.com/search?q=Zheng+Yuan-lin)
其中,仅2018年发表于Journal of Cellular Physiology的一篇文章就涉及了7个国自然基金项目,以及江苏高校优势学科建设工程资助项目(PAPD)、江苏省“333工程”、江苏省高校自然科学基金重大基础研究计划(13KJA180001)等多项基金项目。


这篇文章中的多张图片被质疑。

然而,问题不仅仅局限于单篇文章内部图片真实性存疑。Hoya Camphorifolia还指出,这篇文章中的图片与其他课题组的照片异常相似。

在其他文章中,同样发现了类似的问题。
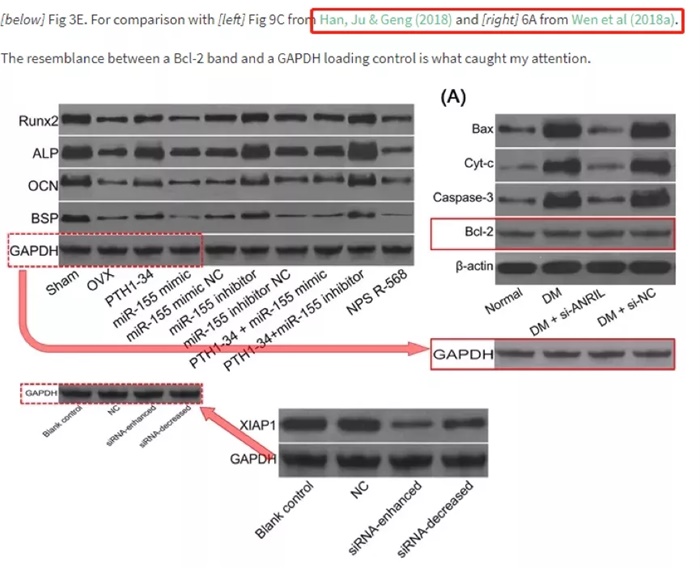
比如,一篇2018年发表于Journal of Cellular Biochemistry的文章,就被质疑与别的课题组的多篇文章存在图片的异常相似。

比如,仅仅WesternBlot图中GAPDH对照组的图谱,就似乎存在重复使用,而且不止和一篇文章重复。



而在这些相互关联的论文中,同样还涉及到3个课题组的3个国自然基金项目和多个省级基金项目。
分别是,上海交通大学瑞金医院(基金号81472237)

浙江大学医学院第一附属医院(基金号:81471581)

以及温州医科大学附属第五医院(基金号:81573657)。

截至发稿,只有上海交通大学瑞金医院的通讯作者在Pubpeer上作出回应,称部分图片问题可能是意外操作失误,已着手核查原图,一旦确认,将立即联系期刊进行修正。
对于与其他作者的图片异常相似,该通讯作者表示,论文发表之后其他人的论文才出来,可能是自己的论文图片因为某些尚且未知的原因发生泄漏。

在学术圈,即使存在评价体系的部分错位,也应当对自身道德有所要求。
面对有理有据的质疑,作者理应作出回应,而所属院校和机构也应当进行相应的调查。
学术道德不应当是一句空话,合理的学术质疑并不是可以置之不理的’故意找茬”,要有一个更光明更积极更客观的学术圈,应当正视这些质疑、这些诘问。
7月27日,人力资源社会保障部办公厅和教育部办公厅联合对《关于深化高等学校教师职称制度改革的指导意见(征求意见稿)》征求意见,在这份指导意见草案中提出了“严把思想政治和师德师风考核。”“突出教育教学能力和业绩。”“克服唯学历、唯资历、唯“帽子”、唯论文、唯项目等倾向。”的评价标准。

这也是一个好的开端,但是一个更公平公正透明的学术圈更需要你我他的参与!
编者按:本文转载自微信公众号:百味科研芝士(ID:keyanzhishi),作者: K.O
广告、内容合作请点这里:寻求合作
咨询·服务
